2024年4月。ついに妻の眉下を行ってきました。
思えば彼女が20歳の時に出会い、早20年近く。
お互い老けたもんです。
ところで4~5年前から
「瞼が下がってきて、二重が狭くなった!」
と嘆いており、私に手術をせがむようになりました。
まあ、色んな外科医がいるもんですが、
おそらく配偶者のオペってみんな嫌なもんじゃないでしょうか。
自信もって執刀してるし、
何なら自分がナンバーワンだ!くらいの意気込みで
毎日手術するわけですけどね。

さすがにね、妻の顔にメスを入れるのは、
いつも以上にプレッシャーがかかるわけですよ。
なんせ毎日顔を合わせますからね。
腫れとか「必ず引く」とわかっていても
なんだかソワソワするもんです。
でもね、私、お医者さんですから。
せっかくだから、ちゃんと観察してやろう!と。
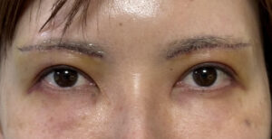
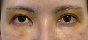
それでは皆様があまり見ることのない
術後一週間までの毎日の変化を追ってみていきましょう!

↑当日さすがに腫れました

↑翌日、あれ・・・意外といけるじゃん!

↑3日目、おやおや・・・黄色みが出てきたぞ

↑4日目。おおっと。広がったね(;'∀')

↑5日目。うん。ピークは越えたよね!

↑6日目、腫れ感も落ち着きいい感じ。

↑7日目、抜糸しました!

↑8日目。メイクをすれば色味は気にならないもんです。

↑2週間うん、いい感じ!傷も外側はかなり馴染んでいます。

↑振り返り。直後と術後3週間のメイクあり。
メイクをすればほぼほぼわからんですね。
さてさて、いかがでしょう。
直後そんなでもないと思っても
後から内出血が顕在化するなんてことはよくある事です。
ただ止まない雨はないのと同様、
引かない腫れと内出血はない!
術後不安になることかと思いますが、
気長に時間が過ぎるのを待ちましょう。
そうそう、いわゆる
「日にち薬」
ってやつですね('ω')ノ
なんと、今日は紅先生の眉下も行いました。
眉下だらけだぜい
@aichisakaeclinic #CapCut #眉下切開#眉下リフト#眉下切開なら横山#眉下切開ならあいち栄クリニック#とにかく綺麗な眉下切開 #家族にできる美容施術 ♬ BECAUSE OF YOU (Guitar Ver.) - By2
ちょっと知ってみるとちょっと面白い。
ただ綺麗にされるより、理解して綺麗になっていくともっと楽しい!
美容ってそんな感じです。
まずはお気軽にカウンセリングにお越しくださいませ。





